実際にインプラント治療を受けられた患者様の症例をご紹介いたします。
最初はみなさんインプラント治療を受けるのに不安をかかえておられます。
当院では一人ひとり異なるお悩みやご要望に寄り添い、患者さまに合わせた治療を提供しています。
インプラント治療を検討されている方の参考になれば幸いです。
症例1/





症例2/





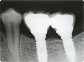
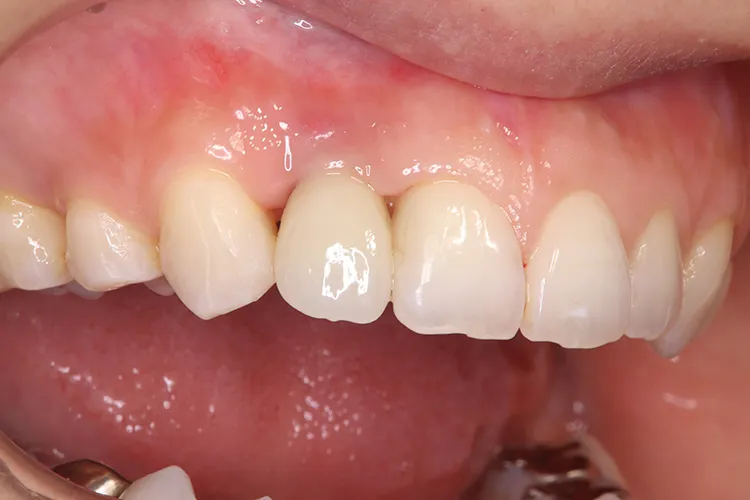
第一大臼歯1歯欠損をインプラントで回復したケースです。第一大臼歯は永久歯の中で一番最初に生える歯ですが、一番早く傷んでしまう歯でもあります。噛む力の60%を負担し噛み合わせの安定に大きく影響しますので、この歯が欠損すると噛み合わせに悪い影響を与えてしまいます。インプラントで治すことにより噛み合わせが安定するだけでなく、ブリッジのように隣在歯を削らないので天然歯の寿命を延ばすメリットもあります。
症例3/



左下5本欠損した部分をインプラント3本埋入して5本ブリッジで治したケースです。なかなかインプラントに踏み切れず、長い間入れ歯を使っておられましたが、噛みごたえがなく好きなものが食べれない上に、度々歯茎が痛んでは調整の繰り返しで快適に過ごすことができず、QOLの向上のためインプラント治療を決断されました。今ではなんでも食べれるとのことで、入れ歯で我慢しないでもっと早くインプラントにすればよかったと言っておられます。
症例4/



前歯の古いブリッジが脱離し、土台となっていた3本の歯も傷みがはげしく再度のブリッジ治療が不可能な状態でした。前歯ということで欠損を放置できないため、抜歯と同時にインプラントを3本埋入し即日で仮歯までいれました。治療期間中、見た目を気にすることなくオペから4ヶ月で最終のジルコニア4本ブリッジを装着し治療完了しました。抜歯即時埋入は術後の痛みもほとんどなく、治療期間の短縮や患者様の負担軽減などメリットの大きい治療法です。
症例5/








歯ぎしり・食いしばりが強い方の治療ケースです。全体的に歯が擦り減り正面から見て下の歯が見えないほど噛み合わせの高さが失われており、顎関節にも症状がでていました。ヒビが入って保存不可の歯を抜歯しインプラントを計5本埋入し、前歯・臼歯にインプラント土台のブリッジを入れることで噛み合わせの高さを回復しました。古い金属の被せ物もジルコニアでやりかえました。噛み合わせの高さが改善したことで顎関節症状もなくなり快適に過ごされています。歯ぎしりがある方は、夜間のナイトガード装着が必要になります。
症例6/




怪我で歯が折れてしまったケースです。前歯なので抜歯即時埋入で対応しました。即時で仮歯まで入れ、見た目の回復を行いました。その後歯肉が治りインプラントが安定したタイミングで最終の被せ物を装着しオペから3ヶ月で治療完了しました。
症例7/





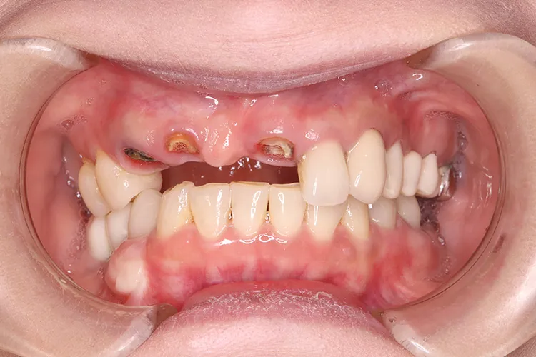
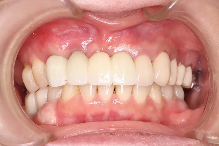
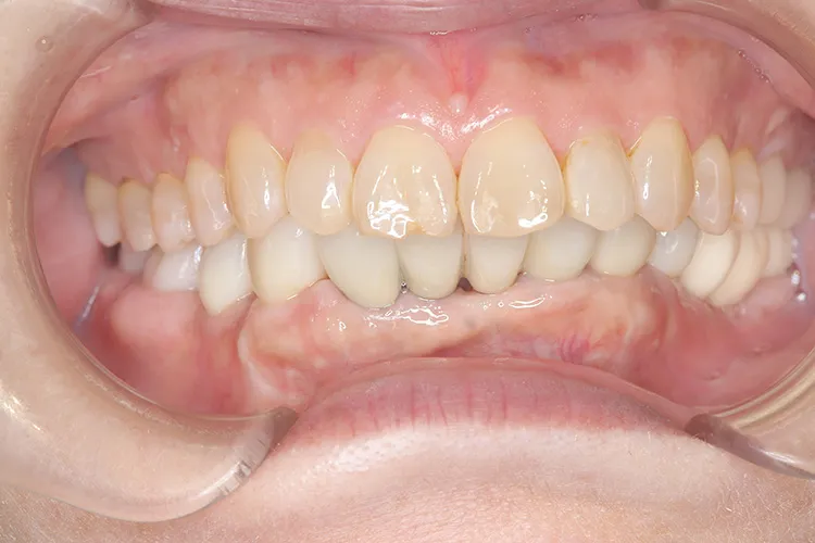
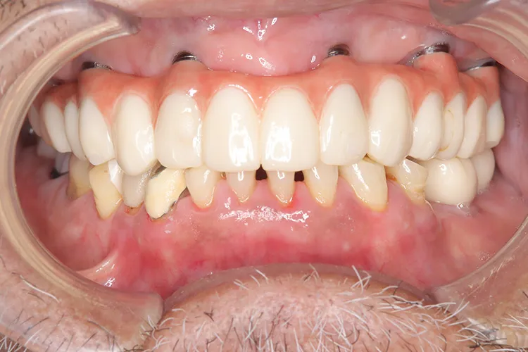
上顎の総入れ歯が不安定で固定式を希望され、インプラント6本で上部構造を支えるボーンアンカードブリッジを選択されました。インプラント埋入したその日にそれまで使用していた入れ歯をインプラントに固定させました。その後歯肉が治癒した段階で最終の上部構造(14本ブリッジ)を装着しました。
症例8/





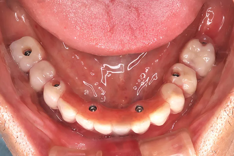
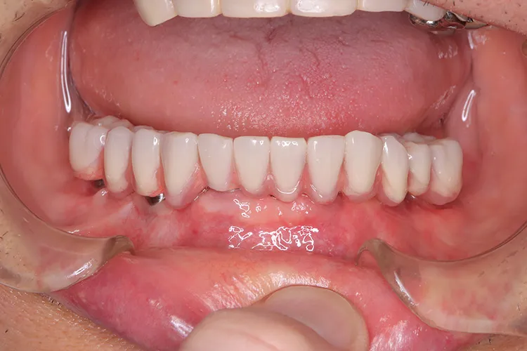
ボーンアンカードブリッジの下顎症例です。同じようにインプラント6本で上部構造を支えることができます。
症例9/





20歳の患者様の永久歯先天欠如のケースです。右上4・右下5・左下45の他、第二大臼歯も3本先天欠如していました。年齢も若いため、歯を傷める可能性の高いブリッジは選択されず、長期間安定して機能するインプラントを選択されました。このように若年者で永久歯が先天欠如しているケースにも応用できます。
症例10/




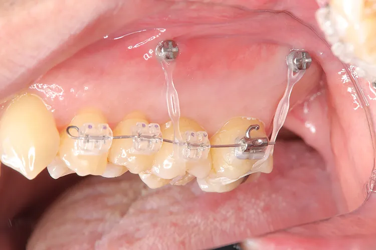
左下の大臼歯の欠損を長期間放置したために上の歯が下がってきてしまい、他の歯医者で被せを入れることができないと断られうちに来られました。下がってきてしまった上の奥歯を部分矯正で上に引っ張り上げ、下に被せ物を入れるスペースを作り、インプラントを入れて噛み合わせを回復しました。部分矯正開始から1年半で治療完了しました。
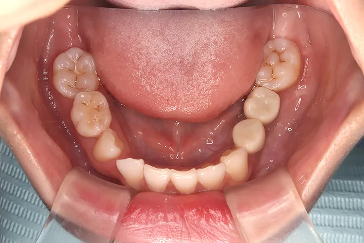
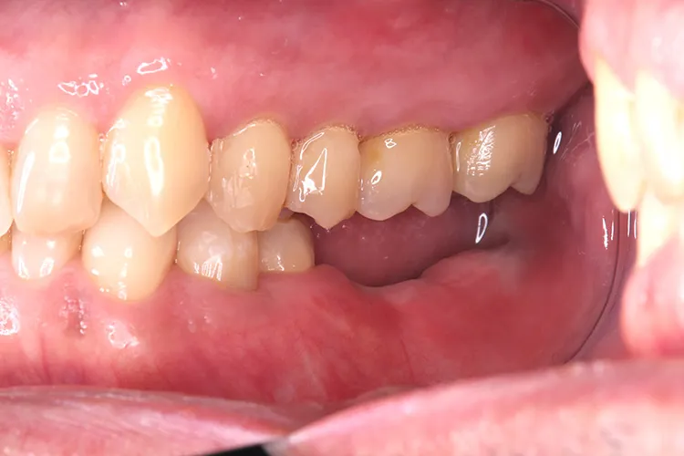
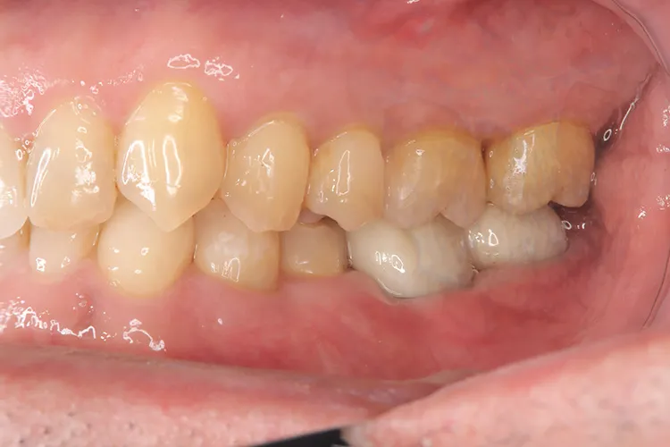
治療内容
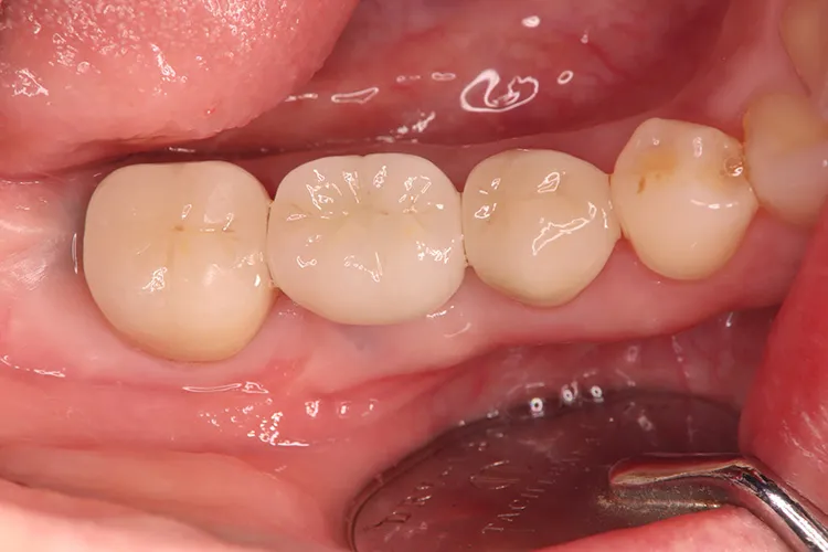
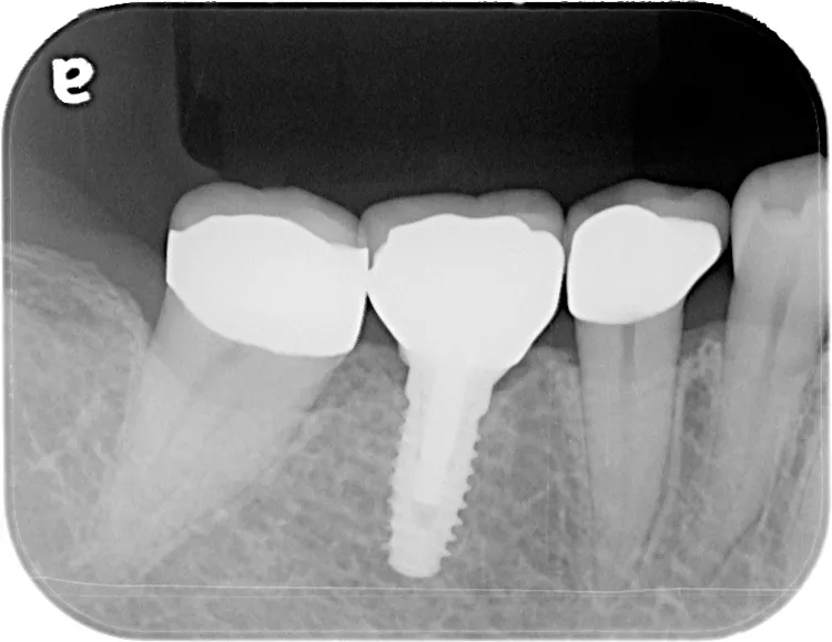
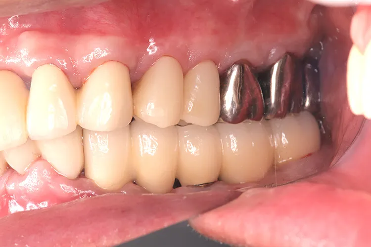
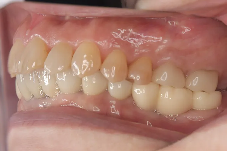
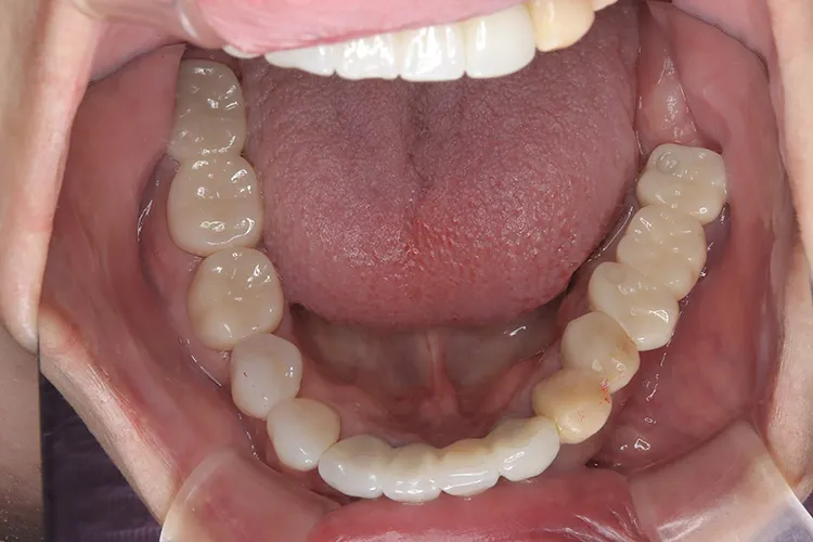
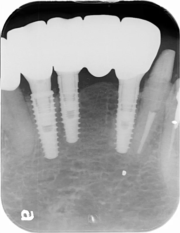
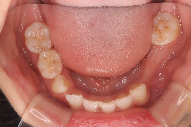
左下67 欠損に対してインプラント治療を行った症例
部分床義歯を使用していたが、どうしても慣れない上にしっかり噛むことができないためインプラント治療を希望